2025.04.08.
Japán kutatók SARS-CoV-2 tüskefehérjét találtak Covid ellen beoltott, stroke következtében elhunyt személyek majdnem felének agyi artériáiban, egy esetben 17 hónappal az oltás után is.
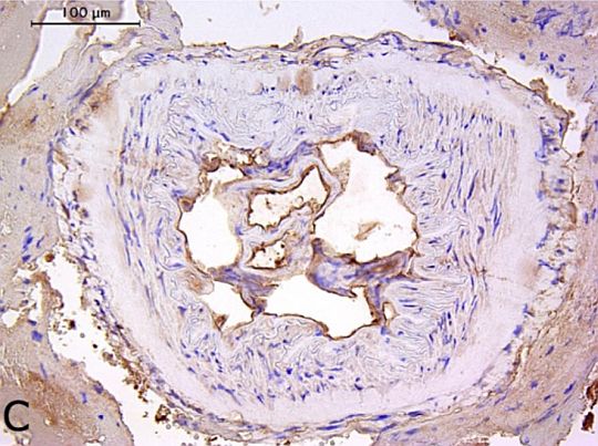
A 2025. április 3-án közzétett Expression of SARS-CoV-2 spike protein in cerebral Arteries: Implications for hemorrhagic stroke Post-mRNA vaccination című tanulmány a Journal of Clinical Neuroscience című folyóiratban jelent meg.
A kutatók 2023 márciusa és 2024 áprilisa között összesen 19 vérzéses stroke-os esetet elemeztek. 18 személyt a Sapporo Teishinkai Kórházban műtöttek, egyet pedig ott boncoltak. A 19 közül 14 nő volt, az átlagéletkor pedig 58,9 év volt. Tizenhaton kaptak előzőleg mRNS-oltást, az adagok átlagos száma 4 volt, az utolsó oltástól a műtétig eltelt átlagos idő pedig 10,8 hónap volt. A beoltottak közül csak egy személynél szerepelt korábbi Covid-fertőzés a kórtörténetben.
A beoltott betegek 43,8 %-ánál kimutatható volt a tüskefehérje expressziója, túlnyomórészt az agyi artériák belső rétegében, egy esetben még 17 hónappal az oltás után is. Egyik esetben sem volt jelen aktív vírusfertőzés, ami onnan tudható, hogy nem volt kimutatható az ilyen fertőzés egyik jellemzője, a nukleokapszid fehérje.
A tanulmány következtetése a következő:
Bár nem zárható ki teljesen a tünetmentes SARS-CoV-2 fertőzés okozta tüskefehérje-expresszió lehetősége, ez a vizsgálat kimutatta a SARS-CoV-2 tüskefehérje elhúzódó jelenlétét az agyi artériákban az mRNS-oltást követően. Emellett a tüskefehérje-pozitív erekben gyulladásos sejtek bizonyos mértékű beszivárgása volt megfigyelhető. Ezek az eredmények jelentős aggodalomra adnak okot a lipid nanorészecske-alapú oltások biodisztribúciójával és hosszú távú biztonságosságával kapcsolatban. Sürgősen szükség van globális replikációs vizsgálatokra ezen eredmények megerősítése és az mRNS-oltások átfogó biztonsági értékelésének biztosítása érdekében.